مجهزترین کلینیک دندانپزشکی خاورمیانه
کلینیک دندانپزشکی
تمام دیجیتال و هوشمند
چرا دندانپزشکی دیجیتال کاخ لبخند؟
کلینیک دندانپزشکی کاخ لبخند، با ارائه خدمات لوکس و حرفهای، تجربهای بینظیر در مراقبت از دندانها به شما هدیه میدهد. این کلینیک با استفاده از تکنولوژیهای پیشرفته دیجیتال، خدمات تخصصی را در فضایی آرام و دلنشین ارائه میدهد. خدمات VIP، رادیوگرافی دیجیتال، اسکنرهای سه بعدی، بی حسی دیجیتال، طراحی لبخند دیجیتال، طراحی و ساخت تاج و پلهای دندانی، لیزر درمانی و پروتزهای دندانی , عصب کشی بدون درد , ترمیم با بهترین متریال روز دنیا و ایمپلنت دیجیتال از جمله خدمات ارائه شده در این کلینیک هستند.
دندانپزشکی
دندانپزشکی یکی از رشتههای پزشکی است که به تشخیص، پیشگیری و درمان بیماریهای دهان و دندان میپردازد. این حوزه شامل خدمات متنوعی از جمله معاینات دورهای، پر کردن دندان، درمان ریشه، ارتودنسی و جراحیهای دهان است.
کلینیک دندانپزشکی
برای حفظ سلامت دهان و دندان، مراجعه منظم به دندانپزشک بسیار حائز اهمیت است. دندانپزشکان با استفاده از تکنیکها و تجهیزات پیشرفته، به بیماران کمک میکنند تا از مشکلات دندانی جلوگیری کنند و در صورت بروز بیماری، درمانهای لازم را انجام دهند.
همچنین، رعایت بهداشت دهان و دندان در خانه، شامل مسواک زدن منظم، استفاده از نخ دندان و مصرف مواد غذایی سالم، نقش مهمی در سلامت دندانها دارد.
با توجه به اهمیت دندانپزشکی در بهبود کیفیت زندگی و سلامت عمومی، انتخاب یک دندانپزشک معتبر و با تجربه میتواند تأثیر زیادی بر روی نتایج درمانی داشته باشد.
دندانپرشکی زیبایی
در نهایت، دندانپزشکی نه تنها به زیبایی لبخند کمک میکند، بلکه به حفظ سلامت کلی بدن نیز مرتبط است. بنابراین، توجه به سلامت دهان و دندان باید در اولویت قرار گیرد.
دندانپزشکی صادقیه
(دندان پزشکی صادقیه)
بهترین خدمات دندانپزشکی صادقیه را در مکانی نوین و پیشرفته تجربه کنید. از لمینت تا کامپوزیت و دیگر درمانهای زیبایی دندان، همه ی این خدمات در دندان پزشکی کاخ لبخند به شما ارائه میشود. برای مشاوره و نوبتگیری با ما تماس بگیرید!
دندانپزشکی بلوار فردوس
(دندان پزشکی بلوار فردوس)
اگر به دنبال دندانپزشکی در بلوار فردوس با خدمات حرفهای و کیفیت بسیار عالی میگردید، کلینیک کاخ لبخند بهترین انتخاب برای شماست. با انواع روش های ترمیم و زیبایی دندان مثل لمینت و کامپوزیت ، ما لبخند و دندان هایی زیبا به شما هدیه میدهیم. همین حالا با ما تماس بگیرید!
دندانپزشکی غرب تهران (دندان پزشکی غرب تهران)
برای دریافت حرفهای ترین خدمات دندانپزشکی غرب تهران ، کلینیک کاخ لبخند با کادری مجرب آماده ارائه درمانهایی مثل لمینت و کامپوزیت است. برای نوبتگیری و مشاوره تخصصی، با ما تماس بگیرید!
دندانپزشکی ستارخان
(دندان پزشکی ستارخان)
بهترین دندانپزشکی در ستارخان را در کلینیک کاخ لبخند تجربه کنید. از درمانهای تخصصی زیبایی تا خدمات ترمیمی ، ما با بهترین امکانات در کنار شما هستیم. همین حالا نوبت خود را رزرو کنید!
دندانپزشک صادقیه
(دندان پزشک صادقیه)
اگر به دنبال یک دندانپزشک حرفهای در صادقیه هستید، کلینیک کاخ لبخند با تیمی کاربلد همواره برای ارائه بهترین خدمات درمانی، زیبایی و ارتودنسی آماده است. با ما تماس بگیرید و زیبایی لبخند خود را چند برابر کنید!
دندانپزشک بلوار فردوس
(دندان پزشک بلوار فردوس)
حرفهایترین دندان پزشک بلوار فردوس در کلینیک کاخ لبخند ، آماده ارائه انواع خدمات دندانپزشکی شامل لمینت، کامپوزیت و درمانهای زیبایی است. برای مشاوره رایگان و دریافت نوبت، همین حالا اقدام کنید.
دندانپزشک غرب تهران
(دندان پزشک غرب تهران)
اگر به دنبال یک دندان پزشک حرفهای در غرب تهران هستید، کلینیک کاخ لبخند با خدمات تخصصی و تکنولوژی مدرن، گزینهای عالی برای شماست. زیبایی و سلامت دندانهای خود را به ما بسپارید!
دندانپزشک ستارخان
(دندان پزشک ستارخان)
برترین دندان پزشک ستارخان را در کلینیک کاخ لبخند پیدا کنید! از خدمات درمانی تا زیبایی ، ما خفنترین تجربه دندانپزشکی را به شما ارائه میدهیم. برای نوبتگیری با ما تماس بگیرید!
دندانپزشکی پونک
(دندان پزشکی پونک)
پیشرفتهترین دندانپزشکی در پونک با خدماتی جدید و تخصصی را در کلینیک کاخ لبخند تجربه کنید. در این کلینیک خدمات مختلف دندانپزشکی از جمله لمینت و کامپوزیت را با ما تجربه کنید. همین حالا وقت رزرو کنید!
ایمپلنت دندان
ایمپلنت دندان در تهران
ایمپلنت دندان یکی از مدرنترین و مؤثرترین روشها برای جایگزینی دندانهای از دسترفته است. در این روش، پایهای تیتانیومی بهصورت دائمی در استخوان فک قرار میگیرد و تاجی مشابه دندان طبیعی روی آن نصب میشود. ایمپلنتها ظاهری طبیعی دارند، عملکرد جویدن را بهبود میبخشند و از تحلیل استخوان فک جلوگیری میکنند. برخلاف روشهای قدیمی مانند بریج، در ایمپلنت نیازی به تراشیدن دندانهای سالم کناری نیست. اگر به دنبال راهحلی دائمی، زیبا و مطمئن برای ترمیم لبخند خود هستید، ایمپلنت دندان انتخابی هوشمندانه خواهد بود.
لمینت دندان
لمینت دندان در تهران
لمینت دندان یکی از محبوبترین روشهای زیبایی دندان است که به کمک آن میتوان رنگ، شکل و ظاهر دندانها را بهطور چشمگیری بهبود داد. در این روش، لایهای نازک از جنس سرامیک یا پرسلن روی سطح جلویی دندانها چسبانده میشود. لمینتها بسیار مقاوم هستند، ظاهری طبیعی دارند و لبخندی درخشان به شما میبخشند. این روش برای اصلاح رنگ دندان، بستن فاصله بین دندانها، یا صافکردن ناهمواریهای خفیف کاربرد دارد. اگر به دنبال لبخندی هالیوودی و دائمی هستید، لمینت دندان گزینهای عالی برای شماست.
کامپوزیت دندان
کامپوزیت دندان در تهران
کامپوزیت دندان یک روش سریع و اقتصادی برای زیباسازی لبخند است که بدون نیاز به تراش دندان، فرم و رنگ آن را اصلاح میکند. در این روش، مواد کامپوزیتی همرنگ دندان مستقیماً روی دندانها شکل داده میشوند و با تابش نور، سخت میگردند. کامپوزیتها برای بستن فاصله بین دندانها، ترمیم شکستگیهای کوچک و سفید کردن فوری دندانها بسیار مناسباند. اگر به دنبال روشی مقرونبهصرفه، کمتهاجمی و سریع برای زیباتر کردن لبخند خود هستید، کامپوزیت دندان میتواند انتخابی هوشمندانه باشد.
دندانپزشکی شبانهروزی
دندانپزشکی شبانهروزی در تهران
دندانپزشکی شبانهروزی راهحلی مطمئن برای افرادی است که در هر ساعت از شبانهروز به خدمات اورژانسی یا تخصصی دندانپزشکی نیاز دارند. درد دندان، شکستگی، آبسه یا خونریزی لثه ممکن است در نیمهشب یا روزهای تعطیل اتفاق بیفتد و در چنین شرایطی، حضور یک مرکز دندانپزشکی فعال در تمام ساعات اهمیت زیادی دارد. دندانپزشکی شبانهروزی با حضور پزشکان مجرب، تجهیزات کامل و امکان ارائه خدمات فوری مانند عصبکشی، کشیدن دندان یا کنترل درد، آرامش خاطر بیماران را فراهم میکند. اگر به دنبال درمانی سریع، حرفهای و در دسترس در هر زمان هستید، دندانپزشکی شبانهروزی بهترین انتخاب برای شماست.
کلینیک دندانپزشکی شبانهروزی
کلینیک دندانپزشکی شبانهروزی در تهران
کلینیک دندانپزشکی شبانهروزی مکانی امن و مجهز برای دریافت خدمات فوری و تخصصی در هر ساعت از شبانهروز است. چه نیمهشب دچار دنداندرد شدید شده باشید، چه در روزهای تعطیل با شکستگی یا عفونت دندان مواجه شوید، این مراکز آماده ارائه خدمات فوری مانند عصبکشی، کشیدن دندان، ترمیم، کنترل درد و درمانهای اورژانسی هستند.
با حضور پزشکان متخصص، استفاده از تجهیزات پیشرفته و رعایت کامل اصول بهداشتی، کلینیکهای دندانپزشکی شبانهروزی تلاش میکنند تا در سریعترین زمان ممکن، بهترین درمان را ارائه دهند. در مواقع اضطراری که زمان اهمیت بالایی دارد، مراجعه به یک کلینیک دندانپزشکی شبانهروزی میتواند سلامت دهان و آرامش شما را حفظ کند.
دندانپزشکی
در کلینیک دندانپزشکی کاخ لبخند، دندانپزشکی به عنوان یک فرآیند علمی، دقیق و کاملاً شخصیسازیشده ارائه میشود. تمامی درمانها بر اساس نیاز هر فرد، شرایط دهان و دندان، و هدف نهایی او طراحی میگردند.
استفاده از فناوریهای دیجیتال در تشخیص، طراحی درمان و اجرای مراحل مختلف باعث شده است دقت درمانها افزایش یافته و احتمال بروز خطا به حداقل برسد.
کاخ لبخند با تکیه بر تیمی از متخصصان برجسته، خدمات جامع دندانپزشکی را در محیطی مدرن و بهروز ارائه میدهد. از مراقبتهای پیشگیرانه و درمانهای عمومی گرفته تا بازسازی کامل لبخند.
نتیجه این رویکرد، تجربهای متفاوت و استاندارد از خدمات دندانپزشکی است که رضایت بیماران را در پی دارد.
کلینیک دندانپزشکی
کلینیک دندانپزشکی کاخ لبخند به عنوان یکی از مراکز پیشرفته دندانپزشکی در تهران، با بهرهگیری از تجهیزات دیجیتال و پزشکان متخصص در زمینههای مختلف، تمامی خدمات مورد نیاز بیماران را در یک مجموعه متمرکز ارائه میدهد.
این کلینیک با هدف ارتقای کیفیت درمانهای دندانی و ایجاد اطمینان خاطر در بیماران تأسیس شده و توانسته است در سالهای اخیر به عنوان یکی از بهترین کلینیکهای دندانپزشکی تهران شناخته شود.
کاخ لبخند با بهکارگیری دستگاههای تصویربرداری سهبعدی، سیستمهای CAD/CAM و فناوری لیزر، فرآیند درمان را کوتاهتر، دقیقتر و بدون درد ساخته است.
تمامی مراحل، از معاینه اولیه تا ساخت روکش یا لمینت، در همین مرکز و تحت نظارت مستقیم پزشک انجام میشود.
ویژگیهایی مانند ارائه خدمات شبانهروزی، شرایط پرداخت اقساطی، محیط کاملاً استریل و آرام، و رعایت اصول حرفهای موجب شده بیماران این مرکز را بهعنوان گزینهای مطمئن برای درمانهای تخصصی خود انتخاب کنند.
کاخ لبخند نمادی از دندانپزشکی مدرن، علمی و قابل اعتماد است.
دندانپزشکی زیبایی
دندانپزشکی زیبایی یکی از شاخههای تخصصی در کاخ لبخند است که هدف آن ایجاد لبخندی متناسب با چهره، طبیعی و ماندگار است.
در این حوزه، اصلاح رنگ، فرم و چیدمان دندانها با دقت بالا و با استفاده از فناوریهای پیشرفته انجام میشود تا لبخند بیمار علاوه بر زیبایی، از نظر عملکردی نیز کاملاً سالم باشد.
درمانهای زیبایی در این کلینیک شامل لمینت سرامیکی، کامپوزیت ونیر، بلیچینگ تخصصی و طراحی دیجیتال لبخند است.
در روش طراحی دیجیتال، فرم نهایی لبخند پیش از شروع درمان شبیهسازی میشود تا بیمار تصویری دقیق از نتیجه نهایی داشته باشد.
مواد مصرفی در بخش دندانپزشکی زیبایی کاخ لبخند از معتبرترین برندهای بینالمللی انتخاب میشود و تمامی مراحل درمان توسط متخصصان زیبایی با تجربه بالا انجام میگیرد.
ترکیب دانش علمی، دقت فنی و درک زیباییشناسی سبب شده است کاخ لبخند در میان بیماران به عنوان یکی از بهترین مراکز دندانپزشکی زیبایی در تهران شناخته شود.
دندانپزشکی صادقیه
(دندان پزشکی صادقیه)
کلینیک دندانپزشکی کاخ لبخند با موقعیتی مناسب در نزدیکی محدوده صادقیه، یکی از گزینههای برتر برای افرادی است که در غرب تهران به دنبال خدمات تخصصی دندانپزشکی هستند.
دسترسی آسان باعث شده بیماران از مناطق مختلف تهران بتوانند بهراحتی به این مجموعه مراجعه کنند.
این مرکز با ارائه خدمات کامل دندانپزشکی شامل ایمپلنت، لمینت، درمان ریشه، ترمیم، ارتودنسی و زیبایی، یکی از جامعترین کلینیکهای دندانپزشکی در محدوده صادقیه محسوب میشود.
همچنین فضای آرام و استریل، بهرهگیری از فناوری دیجیتال و حضور متخصصان برجسته، تجربهای مطمئن و حرفهای را برای بیماران فراهم کرده است.
دندانپزشکی بلوار فردوس
(دندان پزشکی بلوار فردوس)
موقعیت جغرافیایی کاخ لبخند در نزدیکی بلوار فردوس، دسترسی آسان و سریع را برای ساکنان این منطقه فراهم کرده است.
این کلینیک با طراحی مدرن، تجهیزات بهروز و کادر تخصصی در حوزههای زیبایی و درمانی، به یکی از مقاصد اصلی برای خدمات دندانپزشکی بلوار فردوس تبدیل شده است.
کاخ لبخند با ارائه درمانهای دیجیتال، خدمات شبانهروزی و شرایط پرداخت اقساطی، انتخابی مناسب برای افرادی است که به دنبال کیفیت بالا و اطمینان در درمانهای دندانی هستند.
بیماران این منطقه میتوانند بدون نیاز به مراجعه به مراکز دورتر، از تمامی خدمات دندانپزشکی عمومی و زیبایی در محیطی حرفهای بهرهمند شوند.
دندانپزشکی غرب تهران
(دندان پزشکی غرب تهران)
دندانپزشکی کاخ لبخند در قلب غرب تهران قرار دارد و به عنوان یکی از مجهزترین مراکز تخصصی در این منطقه شناخته میشود. موقعیت مکانی مناسب، دسترسی آسان از مناطق صادقیه، ستارخان، پونک و جنتآباد و همچنین نزدیکی به ایستگاههای مترو و مسیرهای اصلی، مراجعه به این کلینیک را برای بیماران آسان کرده است.
کاخ لبخند با دارا بودن بخشهای تخصصی ایمپلنت، لمینت، درمان ریشه و زیبایی لبخند، خدمات خود را مطابق با استانداردهای جهانی ارائه میدهد.
استفاده از تجهیزات دیجیتال، تیم متخصص و رعایت کامل اصول استریلیزاسیون، این مجموعه را به یکی از بهترین مراکز دندانپزشکی غرب تهران تبدیل کرده است.
دندانپزشکی ستارخان
(دندان پزشکی ستارخان)
محدوده ستارخان یکی از مناطق پررفتوآمد غرب تهران است و نزدیکی کلینیک دندانپزشکی کاخ لبخند به این ناحیه، باعث شده بیماران ساکن ستارخان بتوانند از خدمات این مجموعه با سهولت بیشتری بهرهمند شوند.
این مرکز به دلیل ارائه درمانهای دقیق، خدمات جامع و برخورداری از فناوری روز دنیا، جایگاه ویژهای در میان دندانپزشکیهای نزدیک ستارخان پیدا کرده است.
بیماران این منطقه میتوانند از خدمات تخصصی ایمپلنت دیجیتال، لمینت، کامپوزیت، بلیچینگ و ترمیمهای پیشرفته در محیطی ایمن و مدرن استفاده کنند.
کاخ لبخند با تیمی مجرب، درمانهای دندانی را با رویکردی علمی و ماندگار ارائه میدهد تا لبخند بیماران در بهترین حالت خود حفظ شود.
دندانپزشکی پونک
دندانپزشکی کاخ لبخند با موقعیتی نزدیک به منطقه پونک، گزینهای ایدهآل برای ساکنان این ناحیه به شمار میرود.
فاصله کوتاه، مسیرهای دسترسی آسان و امکانات کامل باعث شده این مجموعه به یکی از مراکز معتبر برای دندانپزشکی در پونک تبدیل شود.
درمانهای ارائهشده در این مرکز شامل تمامی خدمات دندانپزشکی عمومی و تخصصی است.
از ترمیم و درمانهای ریشه گرفته تا طراحی لبخند و ایمپلنت دیجیتال. حضور پزشکان متخصص و تجهیزات بهروز، کیفیت درمان را در سطحی بالا حفظ کرده و موجب افزایش رضایت بیماران شده است.
کاخ لبخند با تمرکز بر دقت، زیبایی و آرامش بیماران، به عنوان یکی از بهترین کلینیکهای دندانپزشکی غرب تهران و پونک شناخته میشود.
دندانپزشک صادقیه
(دندان پزشک صادقیه)
اگر به دنبال دندانپزشک متخصص در محدوده صادقیه هستید، مجموعه کاخ لبخند با کادر درمانی مجرب و مجهز به تجهیزات دیجیتال، یکی از گزینههای برتر در این منطقه محسوب میشود.
دندانپزشکان کاخ لبخند با رویکردی علمی و دقیق، تمامی خدمات مورد نیاز بیماران را از تشخیص تا درمان و زیبایی ارائه میدهند.
تیم درمانی این کلینیک متشکل از متخصصان در حوزههای مختلف مانند ایمپلنت، درمان ریشه، زیبایی و ترمیمی است.
استفاده از فناوریهای سهبعدی و طراحی دیجیتال لبخند موجب شده دقت درمانها افزایش یافته و نتایج ماندگارتری به دست آید.
بیماران ساکن صادقیه میتوانند بدون نیاز به مراجعه به مراکز دورتر، از خدمات تخصصی و استاندارد بینالمللی در محیطی مجهز و آرام بهرهمند شوند.
دندانپزشک بلوار فردوس
(دندان پزشک بلوار فردوس)
دندانپزشکان کلینیک کاخ لبخند در نزدیکی بلوار فردوس، با تکیه بر سالها تجربه تخصصی، درمانهای پیشرفته دندانی را در کوتاهترین زمان و با بالاترین دقت انجام میدهند.
این مجموعه با فراهم کردن زیرساختهای دیجیتال، از مرحله تشخیص تا ترمیم نهایی، روند درمان را علمی، سریع و ایمن ساخته است.
دندانپزشکان کاخ لبخند در حوزههای مختلف از جمله ایمپلنت دیجیتال، لمینت، کامپوزیت، ارتودنسی و جراحی فک و لثه فعالیت دارند.
در این مجموعه، هر بیمار تحت نظر متخصص مربوطه درمان میشود و تمام مراحل درمان با برنامهریزی دقیق و نظارت مستمر انجام میگیرد.
این رویکرد سبب شده کاخ لبخند بهعنوان یکی از مراکز معتبر برای دندانپزشک حرفهای در محدوده بلوار فردوس شناخته شود.
دندانپزشک غرب تهران
(دندان پزشک غرب تهران)
کاخ لبخند بهعنوان یکی از مراکز معتبر دندانپزشکی غرب تهران، مجموعهای از پزشکان و متخصصان برجسته را در یک محیط حرفهای گردآورده است.
دندانپزشکان این مرکز با تسلط بر درمانهای نوین و بهرهگیری از تجهیزات دیجیتال، خدماتی ارائه میدهند که از نظر کیفیت و دقت در سطح بالایی قرار دارد.
تخصص در حوزههای ایمپلنت، جراحیهای دهان و فک، درمانهای زیبایی و اصلاح طرح لبخند باعث شده بیماران از سراسر غرب تهران این مرکز را برای درمان خود انتخاب کنند.
روند درمان در کاخ لبخند بهصورت مرحلهبهمرحله و شفاف انجام میشود تا بیمار در تمام مراحل از جزئیات و نتایج آگاه باشد.
دندانپزشک ستارخان
دندانپزشکان فعال در کلینیک دندانپزشکی کاخ لبخند، با قرارگیری در نزدیکی محدوده ستارخان، آماده ارائه خدمات تخصصی و زیبایی دندان به بیماران این منطقه هستند.
تجربه، دقت و رویکرد علمی این تیم موجب شده بیماران با اطمینان کامل درمانهای خود را در این مجموعه انجام دهند.
دندانپزشکان کاخ لبخند در زمینههای ایمپلنت، زیبایی، ترمیمی و درمان ریشه فعالیت دارند و تمامی مراحل درمان با استفاده از فناوریهای دیجیتال و دستگاههای مدرن صورت میگیرد.
استاندارد بالای خدمات، رعایت اصول بهداشتی و فضای آرام کلینیک باعث شده این مرکز یکی از انتخابهای اصلی برای افرادی باشد که به دنبال دندانپزشک حرفهای در محدوده ستارخان هستند.
ایمپلنت دندان
ایمپلنت دندان یکی از پیشرفتهترین روشهای جایگزینی دندانهای از دسترفته است که بهصورت دائمی در استخوان فک قرار میگیرد و عملکردی مشابه دندان طبیعی دارد. در کلینیک دندانپزشکی کاخ لبخند، ایمپلنت با استفاده از فناوری دیجیتال و تصویربرداری سهبعدی انجام میشود تا دقت کاشت و ماندگاری آن به حداکثر برسد.
پزشکان متخصص این مرکز با بررسی دقیق تراکم استخوان، موقعیت عصب و ساختار فک، طرح درمان اختصاصی برای هر بیمار طراحی میکنند.
استفاده از برندهای معتبر جهانی، کاهش زمان ترمیم و امکان بارگذاری سریع پروتز از مزایای ایمپلنت در کاخ لبخند است.
تمامی مراحل جراحی و پروتزی در محیطی استریل و با رعایت استانداردهای جهانی انجام میشود تا نتیجهای ماندگار و طبیعی حاصل شود.
ایمپلنت دندان در تهران
کاخ لبخند یکی از مراکز تخصصی ایمپلنت دندان در تهران است که تمامی مراحل کاشت دندان از تشخیص تا ساخت تاج نهایی در داخل مجموعه انجام میشود.
این امر علاوه بر افزایش دقت درمان، موجب صرفهجویی در زمان و هزینه بیماران میگردد.
تکنولوژیهای بهکاررفته در این مرکز، از جمله اسکنرهای داخل دهانی و نرمافزارهای شبیهسازی استخوان، امکان کاشت دقیق ایمپلنت بدون برشهای گسترده و با حداقل درد را فراهم کرده است.
تجربه بالای تیم جراحی، پیگیری منظم پس از درمان و ارائه برنامه مراقبتی اختصاصی باعث شده کاخ لبخند در میان بیماران بهعنوان یکی از معتبرترین مراکز ایمپلنت دندان در تهران شناخته شود.
لمینت دندان
لمینت دندان یکی از روشهای پرطرفدار در دندانپزشکی زیبایی است که برای اصلاح رنگ، فرم، شکستگی یا فاصله بین دندانها استفاده میشود.
در کلینیک دندانپزشکی کاخ لبخند، لمینتها با استفاده از فناوری طراحی دیجیتال لبخند (DSD) و سیستم CAD/CAM ساخته میشوند تا نتیجه نهایی کاملاً متناسب با چهره بیمار باشد.
لمینتهای سرامیکی بهکاررفته در این مجموعه از مواد مقاوم و طبیعی ساخته میشوند و درخشندگی و شفافیتی مشابه مینای واقعی دندان دارند.
تمامی مراحل از قالبگیری تا نصب نهایی با دقت بالا انجام میشود و هدف، ایجاد لبخندی طبیعی و هماهنگ با سایر اجزای صورت است.
کاخ لبخند با ارائه خدمات تخصصی در این حوزه، یکی از مراکز شناختهشده در زمینه لمینت حرفهای دندان در تهران به شمار میرود.
لمینت دندان در تهران
کاخ لبخند بهعنوان یکی از مراکز معتبر لمینت دندان در تهران، تمامی مراحل درمان را بهصورت دیجیتال و در کوتاهترین زمان ممکن انجام میدهد.
در این مجموعه، پیش از شروع درمان، طرح لبخند بیمار با نرمافزار اختصاصی شبیهسازی میشود تا نتیجه نهایی با سلیقه و ساختار چهره او هماهنگ باشد.
استفاده از سرامیکهای باکیفیت، تکنیکهای نوین تراش حداقلی دندان و نصب دقیق توسط متخصصان باتجربه از عواملی است که باعث دوام بالا و زیبایی طبیعی لمینتها در کاخ لبخند شده است.
کامپوزیت دندان
کامپوزیت دندان یکی از روشهای مؤثر برای اصلاح لبخند با حداقل تراش دندان است.
در کلینیک دندانپزشکی کاخ لبخند، استفاده از کامپوزیتهای نانو هیبریدی و مواد رزینی پیشرفته، ماندگاری و درخشندگی بالایی را تضمین میکند.
در این روش، پزشک با دقت بالا فرم، رنگ و تناسب هر دندان را بازسازی میکند تا نتیجهای طبیعی و هماهنگ با سایر دندانها به دست آید. این درمان نهتنها برای زیبایی بلکه برای ترمیم لبپری و آسیبهای جزئی نیز کاربرد دارد.
کاخ لبخند با اجرای اصول صحیح لایهگذاری و پرداخت دقیق، یکی از مراکز شاخص در زمینه کامپوزیت حرفهای دندان محسوب میشود.
کامپوزیت دندان در تهران
برای افرادی که به دنبال کامپوزیت دندان در تهران هستند، کاخ لبخند ترکیبی از تجربه، فناوری و زیباییشناسی را در یک مجموعه ارائه میدهد.
متخصصان این مرکز با تحلیل چهره و رنگ پوست بیمار، طرح لبخند اختصاصی طراحی میکنند تا نتیجهای کاملاً طبیعی به دست آید.
درمان کامپوزیت در کاخ لبخند در یک یا دو جلسه انجام میشود و از مواد با دوام بالا و مقاومت سایشی مناسب استفاده میشود.
این کلینیک با رعایت استانداردهای بینالمللی و دقت در جزئیات، انتخابی مطمئن برای افرادی است که به دنبال لبخندی زیبا، سالم و ماندگار هستند.
دندانپزشکی شبانهروزی
کلینیک دندانپزشکی کاخ لبخند بهعنوان یکی از معدود مراکز دندانپزشکی شبانهروزی در تهران، خدمات درمانی خود را در تمام ساعات شبانهروز ارائه میدهد.
هدف از راهاندازی این بخش، پاسخگویی سریع به بیماران در شرایط اضطراری مانند درد شدید دندان، عفونت، شکستگی یا خونریزی ناگهانی است.
تمامی خدمات اورژانسی در این کلینیک توسط پزشکان متخصص انجام میشود و بیماران در هر ساعت از شبانهروز میتوانند به مرکز مراجعه کنند.
تجهیزات کامل، حضور دائمی کادر درمان و فضای کاملاً استریل موجب شده کاخ لبخند به یکی از مراکز قابلاعتماد برای خدمات دندانپزشکی فوری تبدیل شود.
دندانپزشکی شبانهروزی در تهران
در میان مراکز فعال دندانپزشکی شبانهروزی در تهران، کاخ لبخند با ارائه خدمات جامع، دقیق و سریع جایگاه ویژهای دارد.
این کلینیک علاوه بر خدمات اضطراری، امکان انجام درمانهای تخصصی مانند ترمیم، کشیدن دندان عقل، عصبکشی فوری و کنترل عفونتهای حاد را در طول شب فراهم کرده است.
حضور پزشکان متخصص در هر شیفت، استفاده از تجهیزات تصویربرداری دیجیتال و رعایت کامل اصول بهداشتی از ویژگیهای شاخص این مرکز است.
همچنین امکان دریافت نوبت فوری و پرداخت اقساطی برای درمانهای شبانه فراهم شده تا بیماران بدون نگرانی از هزینه یا زمان، از خدمات درمانی استاندارد بهرهمند شوند.
کلینیک دندانپزشکی شبانهروزی
کاخ لبخند بهعنوان یک کلینیک دندانپزشکی شبانهروزی، تمامی امکانات مورد نیاز برای ارائه درمانهای فوری و تخصصی را در اختیار دارد.
بخش شبانهروزی این مجموعه با کادر درمان مجرب و دسترسی دائم به تجهیزات جراحی و تصویربرداری، آماده خدمترسانی در هر ساعت از شبانهروز است.
در این مرکز، خدماتی مانند درمان دردهای ناگهانی، عفونتهای لثه، شکستگی دندان، خونریزی پس از جراحی و ترمیم اورژانسی ارائه میشود.
محیط آرام، مدیریت دقیق پروندهها و امکان پیگیری پس از درمان، تجربهای مطمئن برای بیماران ایجاد کرده است.
کاخ لبخند با تمرکز بر کیفیت و ایمنی، توانسته است استانداردهای جدیدی در ارائه خدمات دندانپزشکی شبانهروزی ایجاد کند و به یکی از مراکز شاخص این حوزه تبدیل شود.
کلینیک دندانپزشکی شبانهروزی در تهران
کلینیک دندانپزشکی شبانهروزی کاخ لبخند در تهران با هدف ارائه خدمات مداوم و قابلاعتماد به بیماران در هر ساعت از شبانهروز فعالیت میکند.
موقعیت جغرافیایی مناسب در غرب تهران، دسترسی آسان از مناطق صادقیه، ستارخان، بلوار فردوس و پونک را برای بیماران فراهم کرده است.
در این مجموعه، تمامی امکانات لازم برای درمانهای فوری و پیشرفته فراهم است. از جراحیهای اضطراری گرفته تا کنترل دردهای حاد و درمان عفونتهای شدید.
کادر پزشکی شبانهروزی کلینیک، با حضور مستمر و هماهنگی دقیق بین تیم درمان، آماده رسیدگی سریع به بیماران است.
کاخ لبخند با ترکیب تخصص، فناوری و مدیریت شبانهروزی، یکی از بهترین کلینیکهای دندانپزشکی شبانهروزی در تهران به شمار میرود و انتخابی مطمئن برای افرادی است که به دنبال درمان فوری در هر ساعت از شبانهروز هستند.
مجموعه کاخ لبخند متشکل از برترین متخصصین دندانپزشکی کشور در حوزه های زیبایی – درمانی – ترمیمی – جراحی – درمان ریشه – ارتودنسی و ایمپلنت می باشد.
پارکینگ اختصاصی رایگان
ساخت روکش در کوتاه ترین زمان
اگر به دنبال دقت و سرعت بینظیر و بالاترین کیفیت خدمات دندانپزشکی هستید. می توانید با استفاده از خدمات دندان پزشکی دیحیتال و دستگاه های پیشرفته CAD/CAM خدمات روکش و پروتز دندان را در کوتاه ترین زمان دریافت کنید.
اسکنر ۳ بعدی دیجیتال
اسکنر سهبعدی دهانی یک دستگاه پیشرفته در دندانپزشکی است که برای تهیه تصاویر دیجیتال دقیق از دهان و دندانها استفاده میشود. و فرآیندهای درمانی را سریعتر و راحتتر میکند. اسکنرهای سهبعدی دهانی همچنین باعث کاهش نیاز به قالبگیریهای سنتی و افزایش راحتی بیماران میشوند.
اسکنر ۳ بعدی دیجیتال
اسکنر سهبعدی دهانی یک دستگاه پیشرفته در دندانپزشکی است که برای تهیه تصاویر دیجیتال دقیق از دهان و دندانها استفاده میشود. و فرآیندهای درمانی را سریعتر و راحتتر میکند. اسکنرهای سهبعدی دهانی همچنین باعث کاهش نیاز به قالبگیریهای سنتی و افزایش راحتی بیماران میشوند که در کلینیک کاخ لبخند تمامی خدمات با استفاده از این اسکنر انجام می شود
ساخت روکش دیجیتال
اگر به دنبال دقت و سرعت بینظیر و بالاترین کیفیت خدمات دندانپزشکی هستید. می توانید با استفاده از خدمات دندان پزشکی دیحیتال و دستگاه های پیشرفته CAD/CAM خدمات روکش و پروتز دندان خود را در کلینیک کاخ لبخند در کوتاه ترین زمان دریافت کنید.
ایمپلنت دیجیتال
در کلینیک کاخ لبخند ایمپلنت به صورت دیجیتال و در کوتاه ترین زمان ممکن با استفاده از برند ها و تکنولوژی رو دنیا به شما عزیزان ارائه میگردد. طراحی دقیق و بدون خطا با استفاده از اسکن دیجیتال سه بعدی. درمان کوتاهتر و بدون نیاز به چندین جلسه مراجعه و تجربه ای راحت و بدون درد.
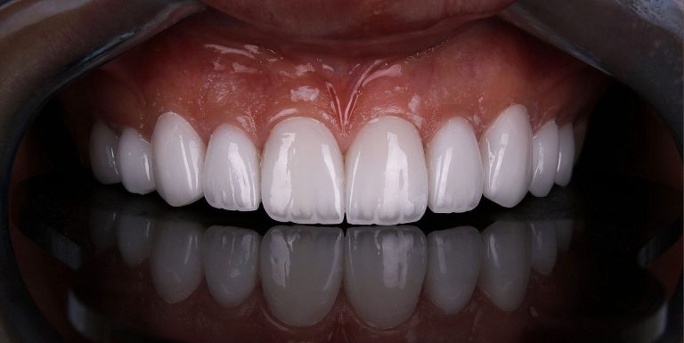
لمینت سرامیکی دیجیتال
کلینیک دندانپزشکی کاخ لبخند با استفاده از لمینیت سرامیکی دیجیتال ایمکس، لبخندی زیبا و جذاب و متناسب با چهره به صورت دیجیتال طراحی و به شما هدیه می دهد. این روش بدون درد و سریع، مشکلات مربوط به نامرتبی، تغییر رنگ، شکستگی و نامتقارنی دندان ها را حل می کند و با مزایایی مانند زیبایی طبیعی، مقاومت بالا و بدون نیاز به تراشیدن زیاد دندان، لبخندی هالیوودی برای شما به ارمغان می آورد.
ایمپلنت دیجیتال
زیبایی لبخندتان را با ایمپلنت دیجیتال تضمین کنید و بدون درد بدون جراحی و بدون نگرانی در کلینیک دیجیتال کاخ لبخند ایمپلنت دیجیتال انجام دهید
لمینت سرامیکی دیجیتال
با استفاده از لمینیت سرامیکی دیجیتال ایمکس، لبخندی زیبا و جذاب و متناسب با چهره به صورت دیجیتال طراحی و به شما هدیه می دهد. این روش بدون درد و سریع، مشکلات مربوط به نامرتبی، تغییر رنگ، شکستگی و نامتقارنی دندان ها را حل می کند.
عصب کشی با لیزر دیجیتال
کلینیک دندانپزشکی کاخ لبخند، با استفاده از روش نوین عصب کشی با لیزر، درد دندان را به طور کامل از بین میبرد.وسلامت دندان شما را تضمین می کند. مزایای این روش شامل سرعت بالا، بدون درد و خونریزی بودن، بهبود سریع و حفظ زیبایی دندان می باشد.
بی حسی بدون درد دیجیتال
خداحافظی با درد دندانپزشکی! بیحسی دیجیتال، تزریقی دقیق و سریع برای لبخندی بدون درد!
مزایا: دقت بالا: بدون آسیب به اعصاب
کنترل دقیق: احساس درد کمتر
سرعت بیشتر: وقت شما ارزشمند است!
در کلینیک کاخ لبخند تمامی بی حسی های توسط دستگاه دیجیتال انجام می شود.
کامپوزیت نانوسرامیک
درکلینیک کاخ لبخند بدون نیاز به تراشیدن دندان! رنگ و فرم دلخواه شما را به صورت دیجیتال و متناسب با فرم صورت شما طراحی کرده و لبخندی زیبا را در کوتاهترین زمان به شما هدیه می دهیم.
دندانپزشکی تخصصی اطفال
کلینیک دندانپزشکی کاخ لبخند، با ارائه خدمات تخصصی و محیطی شاد و سرگرم کننده، مراقبت از دندانهای کودکان را به تجربهای خوشایند تبدیل میکند. تیم متخصص و مهربان این کلینیک، با صبر و حوصله، لبخندهای شاد و سالمی را برای کوچولوها به ارمغان میآورد.
ترمیم با بهترین متریال
تجربه خاص ترمیم بدون درد با بهترین متریال و خدمات در کلینیک کاخ لبخند برای لبخندی زیبا و سالم به شما ارائه داده خواهد شد.
بلیچینگ تخصصی با لیزر
تجربه ای دندان های سفید و جذاب در کوتاه ترین زمان بدون درد و حساسیت و با نتایج قابل توجه با استفاده از دستگاه های تخصصی لیزر و زوم بلیچ و استفاده از متریال آمریکایی در کلینیک شبانه روزی کاخ لبخند.
جراحی تخصصی دیجیتال
انجام انواع جراحی های دهان و دندان با استفاده از تکنولوژی لیزر و دستگاه های پیشرفته پیزوسرجری بدون درد و خون ریزی و دقت بسیار بالا در کلینیک تخصصی کاخ لبخند
نمونه های قبل و بعد ایمپلنت






ارتودنسی دیجیتال
انجام ارتودنسی دیجیتال با استفاده از جدیدترین روش ها و تکنولوژی های بروز و متریال های آمرکایی به صورت کاملا شفاف و نامرئی در کوتاه ترین زمان ممکن در کلینیک کاخ لبخند.
نمونه کار های مراجعین عزیز